Alveo Technologies and Global Animal Health have entered into a strategic collaboration to implement a large-scale avian influenza monitoring program throughout Egypt. This initiative utilizes the Alveo Sense platform, a portable diagnostic tool that provides molecular-grade results on-site in under an hour. By moving away from slow, centralised laboratory testing, the partnership aims to help farmers and veterinarians identify outbreaks early and protect national food security. The system also features digital data integration, allowing authorities to track the spread of the virus across the region in real time. This deployment represents the first mass-scale use of this decentralised technology for poultry health, with future plans to expand throughout the Middle East. Continue reading
Category Archives: Reasearch
AI Imaging Doubles Stroke Thrombectomy: Lancet Study
Dec. 03, 2025 /Mpelembe Media/ — This document announces the publication of a significant real-world evaluation concerning the effectiveness of an artificial intelligence platform used in acute stroke diagnosis. Brainomix, a medical imaging company, reported that its software, Brainomix 360 Stroke, was successfully studied over a five-year period using national data from over 450,000 patients admitted to NHS hospitals in England. The study found that using the AI platform was associated with a remarkable 100% increase in endovascular thrombectomy rates, which is a crucial procedure for treating severe strokes. Experts involved in the NHS collaboration affirmed that the technology significantly reduced delays in patient transfer and diagnosis, helping to increase treatment accessibility, especially in primary stroke centres lacking immediate specialist resources. Ultimately, the data supports the general use of AI imaging decision-support software in clinical guidelines due to its ability to improve patient outcomes. Continue reading
Regenerative School Meals: Climate Resilience and Global Reach
A new research from Stanford University and The Rockefeller Foundation presented at COP30 focuses on the impact of regenerative school meals and climate-resilient food systems globally. Specifically, the analysis finds that shifting school feeding programs to regeneratively sourced staples could, at the same existing cost, feed approximately eight million more children annually across several regions. The research explains that school meal programmes are a massive social safety net, and by leveraging their procurement power for locally-grown and climate-resilient crops, countries can strengthen local economies and build greater system resilience against climate shocks. This research underscores the significant economic and societal returns of investing in sustainable school meals, highlighting a “triple opportunity” to protect nutrition, support agriculture, and reinforce local food systems. Continue reading
Self-Compassion, Support, and Stress Management Boost Academic Engagement
Nov. 2, 2025 /Mpelembe Media/ — This is an Open Access research article from BMC Psychology by Wang and Wang, published in 2025, titled “Exploring pathways to academic engagement: a SEM analysis of self-compassion, social support, and stress management among Chinese university students.” This study employs Structural Equation Modeling (SEM) to investigate how self-compassion and social support relate to academic engagement among 389 Chinese university students. Continue reading
Nanomedicine Breakthrough Redefines Oncology Drug Delivery
This report focuses on a major shift in the oncology market toward advanced drug delivery systems, specifically nanomedicine. It highlights how poor bioavailability limits the effectiveness of traditional cancer drugs and presents Oncotelic Therapeutics Inc.’s Deciparticle platform as a solution designed to significantly increase drug absorption and reduce toxicity. The article details the platform’s versatility, its clinical momentum with the advancement of Sapu-003 (Deciparticle Everolimus) into human trials, and the projection that the nanomedicine market will surpass $500 billion by 2032, driven by delivery innovation. Continue reading
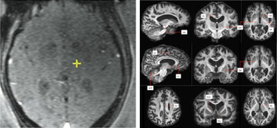
FAT1 Imaging Revolutionizes Essential Tremor Treatment
The study concerns a new imaging technique called FAT1, developed by consultant neurosurgeon Mr. Harith Akram, which is designed to improve the accuracy and outcomes of MR-guided focused ultrasound (MRgFUS) treatment for patients suffering from essential tremor. This technique, which fuses multiple MRI scan types, aims to overcome the difficulty of visualising the small target area in the brain (the Vim nucleus) during the non-invasive procedure. Continue reading
AI-Assisted Nursing: A New Research Project
Jan. 23, 2025 /Mpelembe Media/ — A Finnish research project, part of the European ITEA PROFIT initiative, explores using artificial intelligence to alleviate the workload of nurses. The project aims to develop AI tools for tasks like patient registration and information review, freeing up nurses for direct patient care. Continue reading
BAIBYS™: AI-Powered IVF System
Jan. 14, 2025 /Mpelembe Media/ — BAIBYS™, an Israeli startup, announced its CE-marked AI-powered robotic system for autonomous sperm selection in IVF. This system uses AI and machine vision to identify and isolate optimal sperm cells, addressing the growing global issue of male infertility. Continue reading
AI-powered tool aids in the early detection of melanoma
Jan. 6, 2025 /Mpelembe Media/ — , a medical technology company, is partnering with the Mayo Clinic to pilot its Nevisense device in the US. Nevisense, an FDA-approved AI-powered tool, aids in the early detection of melanoma, the deadliest form of skin cancer. Continue reading
Redefining Cancer Treatment
Jan. 3, 2025 /Mpelembe Media/ — Oncolytics Biotech Inc.’s progress in developing cutting-edge immunotherapies for cancer treatment is the article’s main subject. The piece highlights several key advancements, including clinical trial results and collaborations with other companies. Financial information regarding Oncolytics is included, along with a disclaimer about the nature of the publication. Continue reading
